서울니어치과의원 천안점 `
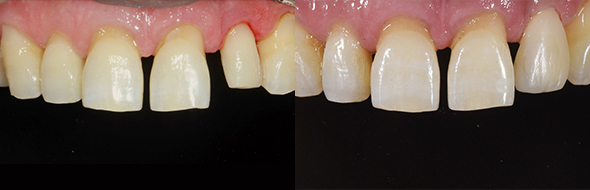
전후사진
정확한 진단과 처방으로 맞춤형 의료 서비스를 제공하겠습니다.
  • 앞니 크라운
  • 임플란트 상악동 거상술
  • 임플란트 재수술
  • 매복사랑니발치
  • 라미네이트
  • 전악임플란트
  • 외소치라미네이트
  • 영구치결손임플란트
  • 앞니브릿지발치임플란트
  • 무삭제 라미네이트
    1 2 3