서울니어치과의원 천안점 `
전후사진
정확한 진단과 처방으로 맞춤형 의료 서비스를 제공하겠습니다.
앞니 크라운



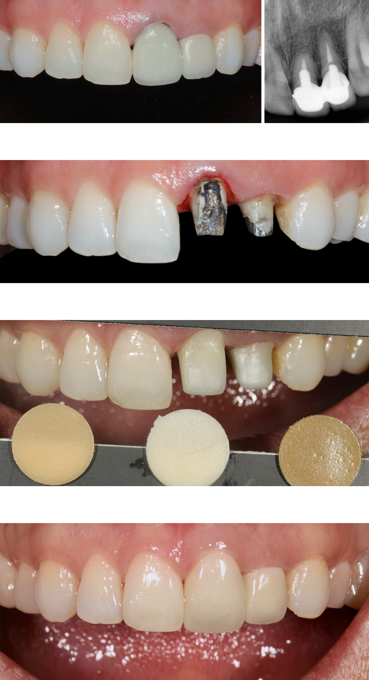
42세 여성 환자분 사례입니다. 오래전에 한 앞니 크라운과 잇몸 사이의 변색으로 인해 병원에 내원하셨습니다. 환자분 치아가 좋지 않다고 판단하여 임플란트를 해야 하나 상담을 받기를 원하셨습니다.


엑스레이와 구강 내 검사 후, 두 개의 치아가 연결되어 있고 비록 뿌리는 짧지만 당장 뽑아야 할 만큼 치아에 문제는 없기 때문에 오래된 크라운을 다시 씌우는 방향으로 설명드렸습니다. 

서울니어치과에서는 임플란트 시술을 많이 하지만, 최대한 살릴 수 있는 치아는 보존하는 방향으로 치료합니다. 

임플란트도 영구적인 것이 아니기에, 만약 치료하여 2,3년 정도라도 치아를 보존시킬 수 있다면 치아를 살리는 치료를 하게 됩니다.


두 개의 치아는 신경치료를 받았었고 메탈 포스트라고 불리는 금속으로 된 기둥이 치아에 붙어있습니다. 요즘에는 보통 앞니에 금속이 아닌 합성수지 섬유로 된 투명색의 기둥을 붙이지만 예전에는 메탈 포스트를 많이 사용하였습니다. 치아와 크라운 사이로 검게 비춰 보이고 치아의 변색을 유발하는 메탈포스트를 제거할 경우 치아의 파절 가능성이 이 예상됐습니다.


메탈포스트를 제거하지 않고 그 위에 금속 색깔을 차단시키는 커버를 자체기공소에서 제작했습니다.

치아에 맞추어 보고 어두운색이 비치어 나오지 않은 것을 확인한 후 크라운의 색을 정하기 위하여 자체 기공소에서 제작한 치아색을 반영하는 쉐이드 가이드를 이용해 크라운 색을 결정하게 되고 작업에 들어갑니다.


환자와 상의하에 두 번의 제작을 통하여 마지막으로 들어간 최종 보철물입니다.